>
Accueil

Accueil

Plan du site

Plan du site.

Copyright

Copyright.

Copyright
Contact

Contact

Qui sommes-nous ?

Qui sommes

nous ?

Mentions

légales.

Copyright

Donations.

 

MemoBio
Recherche :

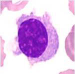
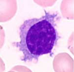
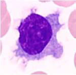
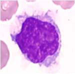
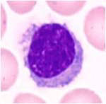
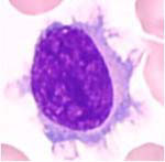
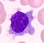
Lymphome splénique à lymphocytes villeux